Las carillas dentales son una solución estética avanzada que permite corregir imperfecciones en color, forma y alineación de los dientes. Este procedimiento ha ganado popularidad porque ofrece resultados inmediatos, naturales y duraderos. En Dental Glow PTY, las carillas de porcelana y composite se colocan de manera personalizada para garantizar una sonrisa armónica y funcional.
Las carillas son finas láminas que se adhieren a la superficie frontal de los dientes mediante adhesivos especiales de alta resistencia. Son ideales para corregir dientes manchados, fracturados, desalineados o con espacios interdentales. Antes de su colocación, se realiza un estudio estético y funcional que considera la forma del rostro, la mordida y las proporciones dentales para diseñar una sonrisa personalizada.
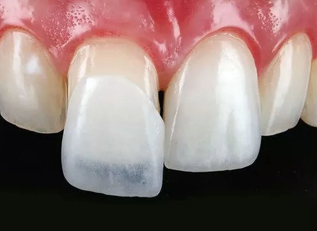
El proceso comienza con una evaluación clínica y radiográfica, asegurando que los dientes estén libres de caries o problemas periodontales. Posteriormente, se realiza un modelado mínimo del esmalte, removiendo una capa fina para permitir la adhesión de las carillas sin alterar la anatomía dental significativa.
Una vez preparados, se toman impresiones digitales o moldes tradicionales para que el laboratorio dental fabrique las carillas con precisión. Los materiales utilizados, como porcelana feldespática o composite de alta resistencia, aseguran durabilidad, resistencia a manchas y una apariencia natural que se integra con el resto de la dentadura.
La colocación se realiza mediante adhesivos especiales, siguiendo protocolos estrictos de higiene y control de humedad. Tras la adhesión, el odontólogo realiza ajustes finales de forma y color, asegurando que la mordida sea correcta y que la estética sea óptima.
Además de mejorar la apariencia, las carillas protegen la superficie dental de desgaste adicional y pueden prolongar la vida útil del diente natural. Con cuidados adecuados, como evitar hábitos de mordida de objetos duros y mantener una higiene oral impecable, las carillas pueden durar más de una década.
El seguimiento post-colocación incluye revisiones periódicas para controlar adhesión, integridad y color. Se recomienda además el uso de protectores bucales en caso de bruxismo y revisiones semestrales de higiene profesional para preservar la estética.
Por qué elegir nuestro proceso dental
En Dental Glow PTY, combinamos experiencia estética con tecnología avanzada. Las carillas se diseñan digitalmente para obtener precisión en forma y color, asegurando un resultado natural y funcional. Nuestro equipo proporciona acompañamiento completo desde la evaluación inicial hasta el mantenimiento post-tratamiento.


Las carillas restauran la estética dental sin comprometer la salud del diente natural. Mantener revisiones periódicas asegura durabilidad y resultados excepcionales.