Reserva
Ahora

Nuestras especialidades

Nuestra experiencia
y áreas de especialización

Nos enorgullecemos de contar con profesionales altamente
cualificados y con amplia experiencia. Nuestras soluciones se adaptan
a tus necesidades.

Endodoncia


Tratamiento que elimina el dolor y la infección del diente .

Cirugía e Implantes

Nuestros implantes son la solución más moderna y duradera para reemplazar los dientes perdidos.

Periodoncia


Cuidado de tus encías y el tejido de soporte de tus dientes.

Ortodoncia


Mejoramos la función masticatoria y la estética facial.

Últimas soluciones y décadas de experiencia. Explora todas nuestras Especialidades

¿Por qué elegirnos?

Estamos aquí para mantener tu sonrisa sana y brillante

Años de Experiencia

12 +

Nuestra clínica fue creada para que su sonrisa sea hermosa, saludable y radiante. Ofrecemos una amplia gama de tratamientos dentales y servicios de restauración dental

Hemos reunido únicamente especialistas cualificados y con amplia experiencia en el ámbito odontológico

Descubre Más

Odonto
Estética

2025

Citas de Lunes a Domingo

Servicios de rutina y emergencia

Poco tiempo de espera y comodidades de lujo

Décadas de experiencia en atención dental

Proceso de Trabajo

Comprometidos con una atención excepcional
centrada en el paciente

Contamos con un equipo odontológico de gran nivel profesional para una atención de calidad

Nos enorgullecemos de contar con profesionales médicos altamente cualificados y con amplia experiencia. Nuestras soluciones de personal se adaptan a sus necesidades específicas.

  • Contamos con planes de seguro dental y descuentos
  • Somos expertos en implantes dentales

Equipos sofisticados con la tecnología mas avanzada

Utilizamos una amplia gama de equipos y tecnología sofisticados para mejorar la atención al paciente, mejorar la eficiencia y agilizar los procedimientos.

  • Sillas ergonómicas y regulables
  • Imágenes radiográficas periapicales

Costo razonable de procedimientos y servicios

Ofrecemos planes de pago y opciones de financiamiento para que el tratamiento sea más asequible. Nuestras soluciones de personal se adaptan a sus necesidades específicas

  • Reduce la ansiedad y la incertidumbre
  • Mejora la satisfacción del paciente

Tratamientos complejos más y cómodos

Ofrecemos una gama de técnicas y tecnologías diseñadas para que los procedimientos sean más cómodos para los pacientes con ansiedad dental

  • Tiempos de curación más rápidos con técnicas de vanguardia
  • Mayor concienciación sobre la salud bucal
Nuestro proceso de atención dental
01

Conecta con un experto

Contáctanos, podemos asesorarte de forma personalizada de acuerdo a tus requerimientos
02

Consulta inicial

Programa tu consulta para discutir inquietudes dentales y planes de tratamiento personalizados
03

Tratamiento dental

Tratamiento dental experto para restaurar, proteger y mejorar tu sonrisa y salud
04

Garantía de satisfacción

Emitimos una garantía clara para asegurar la confianza en los resultados de su tratamiento dental

Cuidado Dental

Comprometidos con tu
salud bucal y estética
sonrisa

Nuestros horarios

  • Lunes - Viernes 08:00 – 18:00
  • Sábados 09:00 – 18:00
  • Domingo 09:00 – 18:00

135 +

Sonrisas transformadas

95 %

Satisfacción del cliente

98 %

Tratamiento Invisalign
completo

25 +

Años de Experiencia

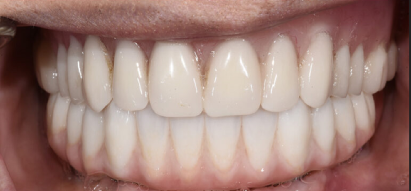
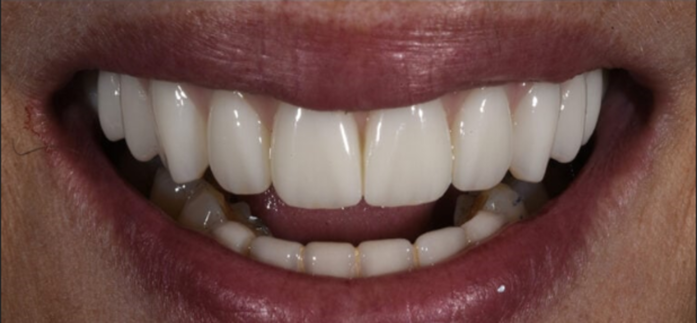
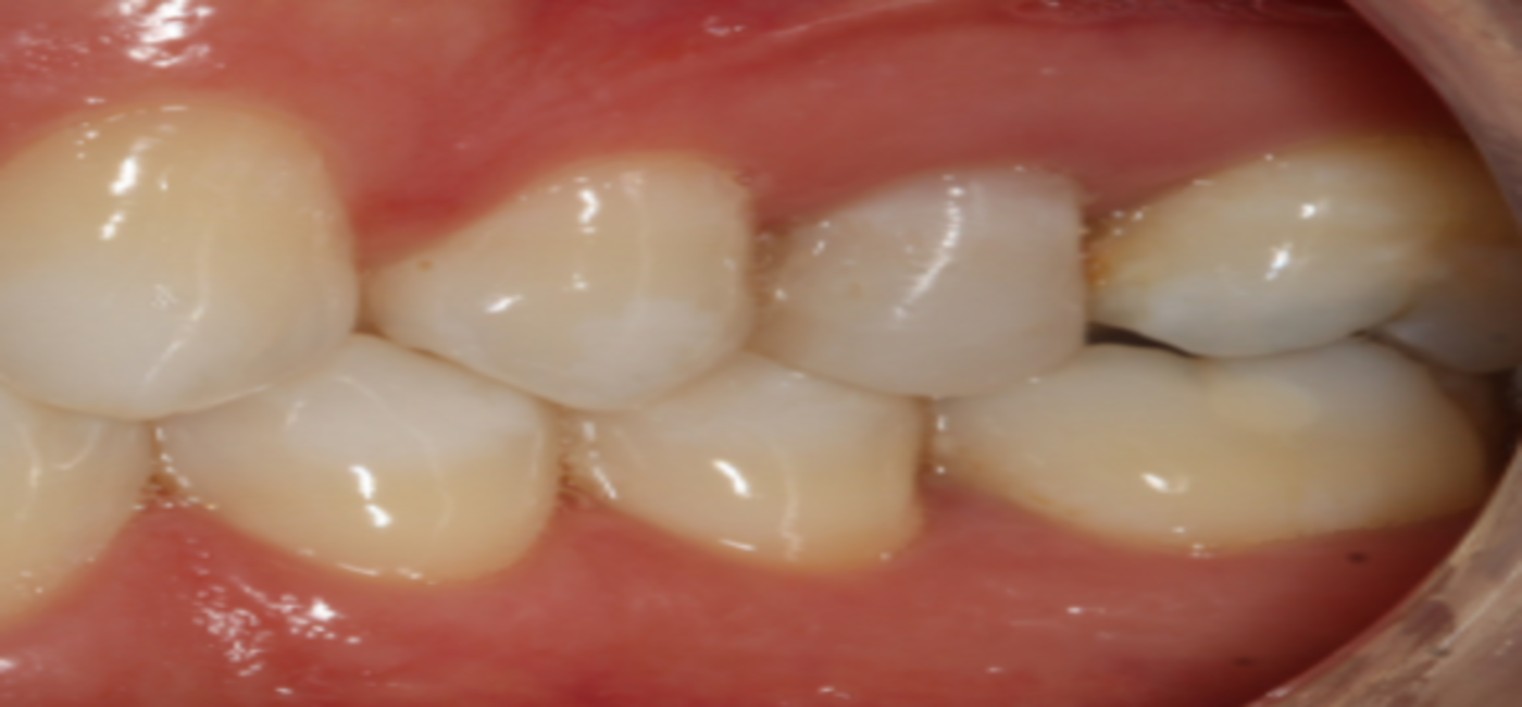
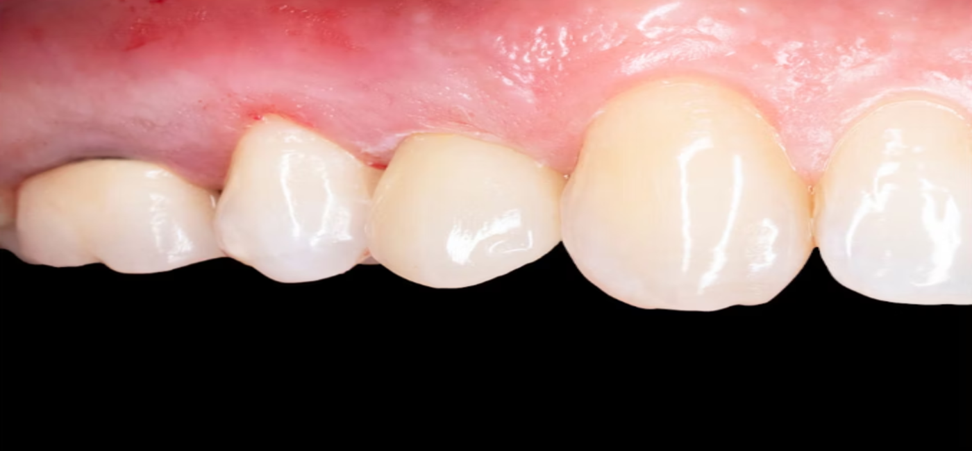
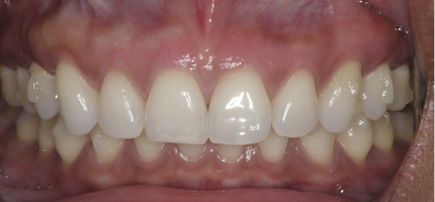
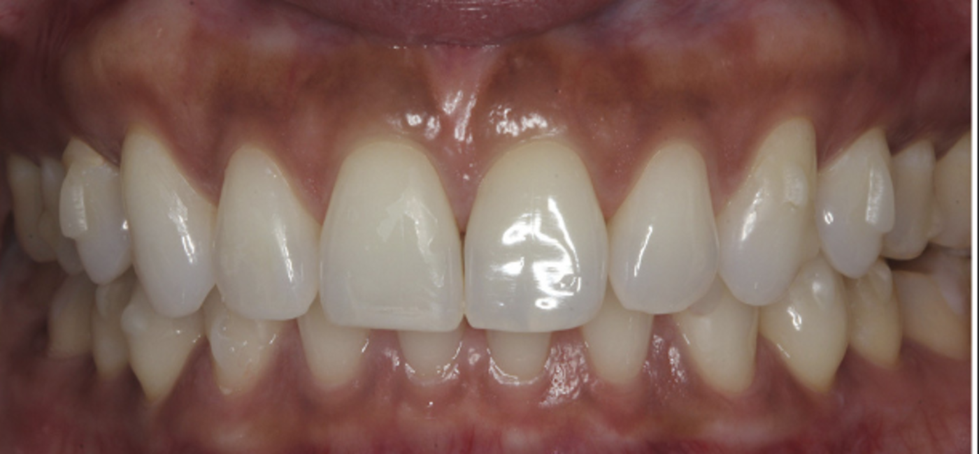
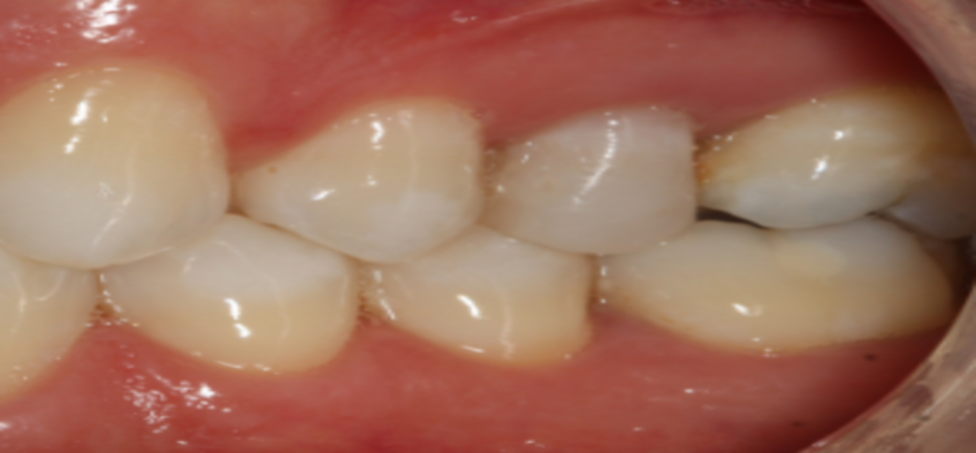
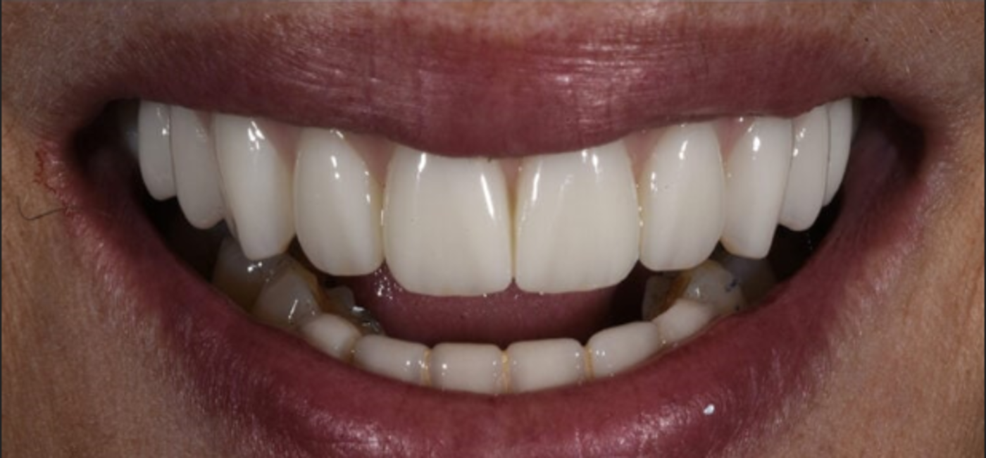
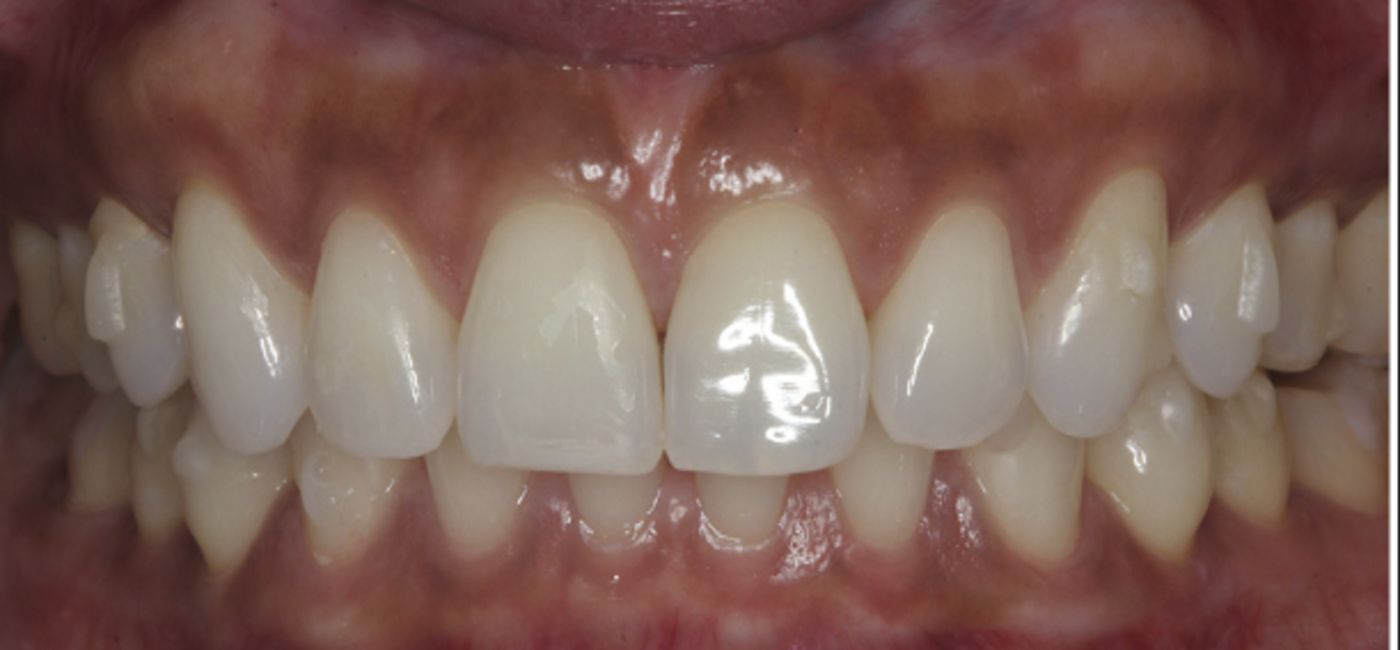
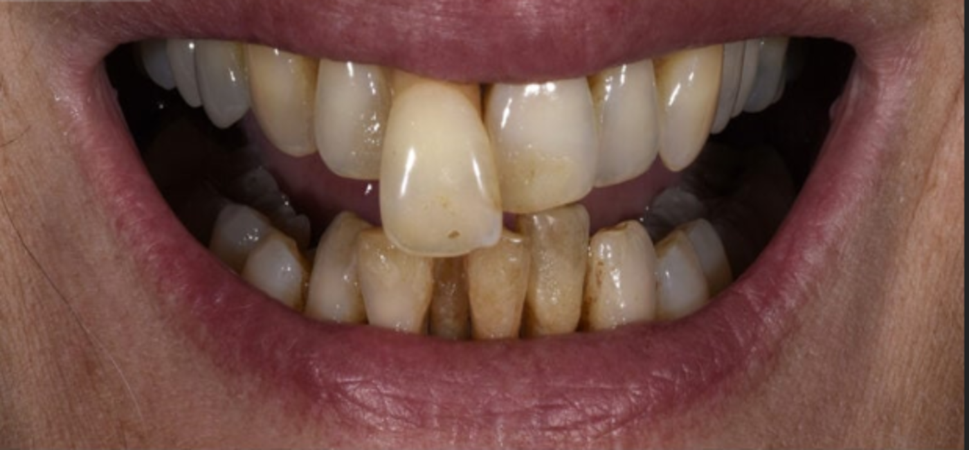
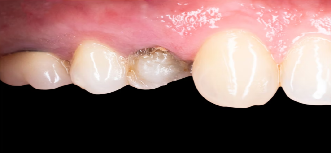
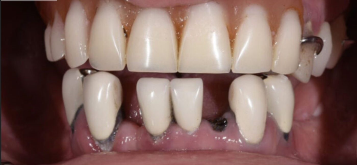
Trabajos personalizados

Personas reales, resultados
reales

Nos comprometemos a ser la clínica dental líder de la región,
brindando atención centrada en el paciente. Ofreciendo excelencia
y calidad en nuestros servicios.

Testimonios

Martha Arango

Prótesis Dental

"Hace poco terminé mi tratamiento y la transformación es increíble. El proceso fue fácil y el equipo me guió en cada paso. ¡No puedo dejar de sonreír!"

Daniel López

Odontología General

“Mi visita al dentista fue fantástica! El personal fue amable y profesional. Mis dientes nunca se han visto mejor. ¡Estoy muy contento con los resultados! Recomiendo ampliamente este servicio.”

Cristian Duque

Estética Dental

“¡Mi experiencia en el dentista fue excelente! El equipo fue amable y profesional. Estoy encantado con cómo luce mi sonrisa ahora y sin duda recomendaría sus servicios.”

750 +

Clientes
satisfechos

5.0

Haz click aquí o escanea el código QR para dejar una reseña

Tu comodidad es nuestra prioridad

Podemos ayudarte a mantener
tu sonrisa en óptimas condiciones

Instagram preview

¡Conéctate con nosotros!

Descubre lo que hacemos día a día en nuestra cuenta de Instagram.

Síguenos ahora

Información Importante

Articulos que
te harán sonreír