Alineadores transparentes y removibles

Ortodoncia Invisible

Ortodoncia Invisible Ortodoncia Invisible

Ortodoncia Invisible

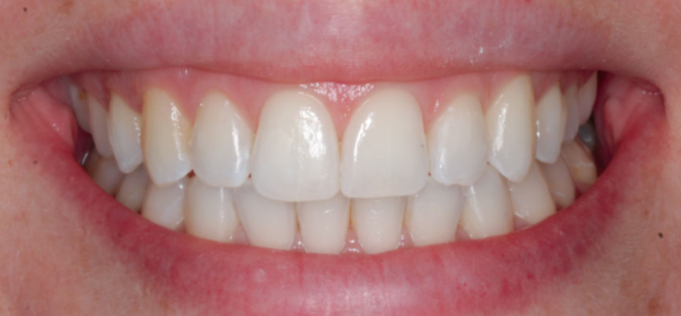
La ortodoncia invisible es una técnica avanzada de corrección dental que utiliza alineadores transparentes y removibles en lugar de los tradicionales brackets metálicos o cerámicos. Estos alineadores, fabricados a medida mediante tecnología digital 3D, ejercen fuerzas controladas sobre los dientes para moverlos gradualmente hacia su posición ideal, corrigiendo problemas de alineación, apiñamiento, mordida cruzada, sobremordida o separaciones entre piezas.

Su principal atractivo radica en la discreción y comodidad que ofrece al paciente. Al ser prácticamente imperceptibles, los alineadores permiten realizar el tratamiento sin alterar la estética facial ni afectar la confianza al hablar o sonreír. Además, al poder retirarse para comer o cepillarse los dientes, facilitan una mejor higiene oral y evitan las molestias o llagas que suelen generar los aparatos fijos tradicionales.

El tratamiento comienza con un estudio completo que incluye fotografías, radiografías y escaneos digitales de la boca. Con esta información, el ortodoncista diseña un plan virtual personalizado que permite visualizar los movimientos dentales y el resultado final antes de iniciar el proceso. A partir de este modelo, se fabrican una serie de alineadores secuenciales que el paciente debe cambiar cada una o dos semanas, según la evolución del caso. Cada juego de alineadores produce movimientos mínimos y progresivos hasta alcanzar la alineación deseada.

Ortodoncia Invisible
Ortodoncia Invisible

Beneficios

La ortodoncia invisible ofrece múltiples beneficios. Entre los más destacados se encuentran la estética superior, ya que los alineadores son transparentes y apenas perceptibles, y la comodidad, al no tener alambres ni brackets que puedan causar irritación. Asimismo, permite retirar los aparatos durante las comidas o para eventos especiales, manteniendo una vida diaria sin restricciones alimentarias. También reduce el número de citas de control, ya que las revisiones suelen ser más rápidas y espaciadas.

Desde el punto de vista funcional, los resultados son comparables a los de la ortodoncia tradicional en la mayoría de los casos leves y moderados, siempre que el paciente sea constante en el uso de los alineadores al menos 20 a 22 horas al día. La colaboración del paciente es un factor clave para el éxito del tratamiento.

Entre las pocas limitaciones de este sistema se incluyen los casos con maloclusiones muy complejas o deformidades óseas severas, que aún requieren técnicas convencionales. Sin embargo, la tecnología ha avanzado tanto que hoy en día la ortodoncia invisible puede corregir la mayoría de las alteraciones dentarias con gran precisión y control.

Instagram preview

¡Conéctate con nosotros!

Descubre lo que hacemos día a día en nuestra cuenta de Instagram.

Síguenos ahora